
重庆治牛皮癣那个医院好?牛皮癣、牛皮癣,让多少人头痛不已,牛皮癣这种皮肤病得名不仅仅是因为到后,皮肤皲裂如牛皮一样,也有不易的原因在里面,牛皮癣患者,初期会经常发生皮肤脱屑的症状,有部分患者伴有皮损现象,到了后,皮损面积扩大、色素沉积,就会非常难看。

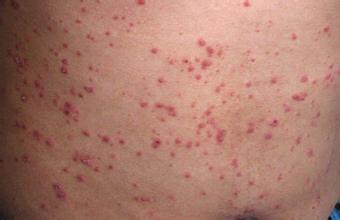
(图为初期丘疹初步融合现象)
重庆朝天门皮肤科医院治疗牛皮癣,采用专业的“O-L净血祛癣生物”,针对牛皮癣皮损、出血等症状,修复肌肤、杀灭致病的链球菌、金黄色葡萄球菌等,重建机体免疫系统,还您一个健康的身体。
牛皮癣致病是因为什么原因呢?
1、遗传因素占主导:遗传因素是影响银屑病病因的一个重要因素.银屑病是一种多基因遗传病变,研究发现,银屑病具有一定的遗传几率.关于遗传方式,有人认为系常染色体显性遗传,伴有不外显率,亦有人认为系常染色体.
2、感染因素不可小觑:研究发现,银屑病病因与上呼吸道感染和扁桃腺炎有关.临床上发现有6%的银屑病患者有咽部感染史.我们发现很多患者摘除扁桃腺后,皮疹可有明显好转或消退.医生研究表明:这与溶血性链球菌的感染有密不可分的关系.溶血性链球菌在入侵人体后,先是感染咽部和上呼吸道,继而引发牛皮癣.
温馨提示:
重庆治牛皮癣那个医院好?治疗牛皮癣重庆皮肤医院,我们一定会还您一个健康的身体。牛皮癣初期要注意与其他疾病分开来,需与脂溢性皮炎、玫瑰糠疹等皮肤疾病相互鉴别,如果您自觉无法鉴别,还希望您能点击我院下方的在线咨询与值班医生交流,如果您已经有比较强烈的就诊欲望,欢迎点击下方在线预约,祝您早日!

重庆朝天门医院是1958年建院的老牌皮肤病专科医院,医保定点单位,贯彻落实各项医保惠民政策。有良好的疗效口碑,患者首选目标医院....【详细】
通过几代皮肤医师的努力,朝天门医院已开展各类病种的治疗,下辖俞中皮肤病研究院、痘康研究院,是西南医院皮肤医师会诊单位,皮肤病类疾病的诊疗方面尤为突出....【详细】
多年来,朝天门医院注重临床医疗质量管理,倡导技术兴院,引进先进诊疗仪器、提升诊疗水平,致力为每一位患者提供优质的医疗服务....【详细】
为了让山城患者享受高质量医疗服务,医院强强联手,打造2017年京沪渝皮肤名医工作站....【详细】